Unintended resuscitation during controlled donation after circulatory death with abdominal normothermic regional perfusion: A case of probable pathological collateral circulation
Per O Gunstad2, Stein Foss1, Ammar Khan2, Kristoffer Lundesgaard3, Dag W Sørensen1, Bjarte Fosby2, Pål-Dag Line2.
1Department of Organ Donation, Oslo University Hospital , Oslo, Norway; 2Section for Transplant Surgery, Oslo University Hospital, Oslo, Norway; 3Department of Radiology and Nuclear Medicine, Oslo University Hospital, Oslo, Norway
Controlled donation after circulatory death (cDCD) using abdominal normothermic regional perfusion (aNRP) is increasingly adopted. Unintended revascularization of the heart or brain will prevent organ donation and may raise ethical concerns.
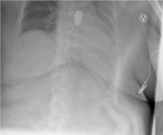
We report a case involving a cDCD donor with chronic heart disease and previous cardiac bypass surgery. The patient was admitted unconscious, showed severe global hypoxic-ischemic brain injury, and was accepted as a cDCD donor. Despite adhering to the aNRP protocol, including a 5-minute no-touch period and correct aortic balloon placement verified by x-ray, the donor spontaneously regained a heart rhythm, consequently leading to the abortion of the procedure.
At autopsy, a fibrous attachment between the diaphragm and heart base containing an identifiable vessel was revealed, suggesting probable collateral circulation. Re-evaluation of the CT scan provided evidence of potential collateral circulation from the inferior phrenic artery to a coronary artery branch.

This case underscores the need for awareness of potential collateral circulations in cDCD donors with heart disease and previous cardiac surgery. Reporting such cases is important for the medical research community to gather experience, refine protocols, and effectively manage similar occurrences, thereby maintaining public trust in cDCD donation with NRP.
[1] Controlled donation after circulatory death
[2] cDCD
[3] aNRP
[4] Extracorporeal membrane oxygenation (ECMO)
[5] Collateral circulation